La déformation en valgus du premier orteil touche le plus souvent les femmes d’âge mûr, mais elle touche également les hommes. Une base déformée du pouce n’est pas esthétique. Dans ce cas, la personne ressent un inconfort physique et, à un stade avancé, une douleur. La déviation du gros orteil est le résultat d’une charge corporelle inégale sur le pied. De tels changements ont un effet néfaste sur les pieds et les autres doigts.
Causes de courbure

L'hallux valgus ne survient pas sans raison apparente. Cette pathologie apparaît et se développe sous l'influence de diverses raisons. L’hallux valgus touche le plus souvent les personnes génétiquement prédisposées à cette maladie. Les médecins notent les causes suivantes de déformation d'un orteil :
- Excès de poids corporel.
- Maladies endocriniennes.
- L'ostéoporose.
- Pieds plats.
- Diabète sucré.
- Psoriasis.
- Arthrite.
- Changements hormonaux pendant la grossesse et la vieillesse.
- Porter des chaussures serrées.
- La spécificité du métier, obligeant une personne à supporter chaque jour une activité physique accrue sur ses jambes.
Stades et variétés
Les médecins considèrent 3 stades de progression de la maladie :
- Déviation subtile de valgus. Des rougeurs de la peau apparaissent, ainsi que des écorchures mineures. Inconfort lors de la marche.
- Une excroissance est déjà clairement visible sur le pouce. Un gonflement et des douleurs sont observés.
- Cette forme de la maladie est considérée comme avancée. Une personne est gênée par une douleur constante et insupportable au gros orteil et sur tout le pied, ainsi que par l'apparition d'une peau kératinisée. La douleur ne disparaît pas même pendant le sommeil.
Le développement d’un hallux valgus désagréable est influencé par de nombreux facteurs. Les experts ont identifié les types suivants de déformations des doigts comme une catégorie distincte :
- Déformation croisée. La courbure se produit dans différentes directions. Les doigts se croisent.
- Courbure des articulations à tel point qu'elles sont toujours en position pliée. Au premier stade de développement de la pathologie, les doigts peuvent être forcés de se redresser à l'aide des mains. Si le traitement n'est pas commencé à ce moment-là, les doigts deviendront si raides que vous ne pourrez plus les redresser avec vos mains. Désormais, il est impossible de se passer de la chirurgie.
- La déformation de Taylor. Pathologie affectant les petits doigts. Caractérisé par l'apparition d'une excroissance sur les os.
- Courbure des phalanges, ressemblant à des crochets.

Les experts incluent des ballerines risquant de développer un hallux valgus. Danser sur la pointe des pieds exerce une pression accrue sur vos orteils, ce qui entraîne leur courbure. Une démarche incorrecte peut également entraîner des résultats indésirables. Les facteurs provoquants sont aggravés même par l'âge.
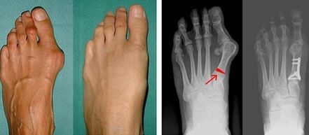
Méthodes de diagnostic
Si l'examen visuel et les radiographies ne donnent aucun résultat, le patient est alors référé à une plantographie pour déterminer d'éventuels pieds plats. Cette méthode consiste à prendre des empreintes de pieds, sur la base desquelles des chaussures ou des semelles intérieures aux propriétés orthopédiques sont fabriquées pour le patient. Le patient se voit alors prescrire une podométrie. Cette méthode utilise une analyse informatique pour déterminer la pression du poids d'une personne sur les pieds. Les résultats des diagnostics avancés constituent la base du choix d'une méthode de traitement pour la courbure du premier et du deuxième orteil.
L'inconvénient de l'examen aux rayons X est la nécessité d'irradier les jambes du patient, ce que de nombreux patients n'aiment pas. Ils pensent que c’est une méthode trop dangereuse. À cet égard, un traitement efficace de l’hallux valgus ne peut être démarré sans les résultats de la plantographie.

C'est la meilleure méthode de diagnostic informative. Avec son aide, le médecin détermine non seulement la présence de pieds plats, mais également l'état de la voûte plantaire. L’examen informatique est le moyen le plus efficace de détecter les pieds plats.
Lors de la première étape de l'identification du valgus du gros et du petit orteil, le médecin procède à un examen visuel. De cette manière, il détermine le stade de développement de la pathologie. Afin d'identifier les changements détaillés dans les articulations, des radiographies et une plantographie sont prescrites.
Thérapie médicamenteuse
Il est préférable de commencer un traitement doux du pied, ainsi que du gros orteil, avant que le stade final de développement de la pathologie n'arrive. Les experts savent comment traiter cette pathologie, mais ils ne savent pas comment guérir la forme avancée de la maladie sans intervention chirurgicale. Tout d'abord, les médecins déterminent la cause de la courbure des doigts, ainsi que la présence de facteurs aggravants. Comme on le sait, la tâche du traitement médicamenteux comprend le traitement symptomatique. Cela signifie que la douleur, l'inflammation et l'enflure sont éliminées.
Le plus souvent, les patients se voient prescrire des anti-inflammatoires non stéroïdiens. En plus de leur fonction principale, ils diminuent la douleur et la fièvre. En cas de complications, des corticostéroïdes hormonaux sont souvent prescrits. Si la déformation des doigts est causée par des maladies des organes internes, les articulations peuvent être corrigées une fois la pathologie sous-jacente guérie. Dans ce cas, les endocrinologues sont impliqués dans le problème avec d'autres spécialistes hautement spécialisés. Beaucoup de gens essaient de se soigner avec des remèdes populaires, oubliant que cela n'est possible qu'au stade initial du développement de la pathologie.
Si la pathologie est détectée au stade initial, le pouce tordu est redressé à l'aide de dispositifs - des coussinets en plastique ou en silicone dotés de propriétés orthopédiques. Pendant le traitement, vous devez porter des chaussures souples et spacieuses. Pour redresser les doigts tordus, des semelles orthopédiques, des supports de voûte plantaire et d'autres correcteurs sont utilisés. Les doigts déformés sont fixés avec des attelles, des anneaux, des capuchons et des peignes spéciaux. À l'aide de tels dispositifs, les doigts sont maintenus dans la bonne position. Grâce aux fixateurs orthopédiques, le développement d'une déformation ultérieure des doigts s'arrête.
Il existe deux façons de traiter l'hallux valgus. Le premier est une correction indolore de la déformation qui ne nécessite pas d'intervention chirurgicale ni de rééducation, le second est un traitement chirurgical.
Méthodes chirurgicales de traitement

La guérison complète de l’hallux valgus n’est possible qu’à l’aide du scalpel d’un chirurgien. Parfois, une seule opération suffit et le patient oublie à jamais le problème. Le médecin réalise une intervention chirurgicale en tenant compte du type de déformation de l'hallux valgus. Les types d'opérations les plus courants sont :
- Exostectomie. Seule une certaine partie de l’os métatarsien est retirée.
- Arthroplastie de résection. La partie terminale de l'os métatarsien est retirée.
- Ostéotomie. Il est utilisé pour retirer l'os métatarsien, ainsi qu'un petit élément de la phalange.
- Résection. L’opération vise à retirer les tissus mous affectés puis à transplanter à leur place des tissus sains.
- Arthrodèse. Fournit une immobilité forcée des articulations.
- Ostéotomie distale. L'opération consiste à réduire l'angle entre les articulations.
- Ablation de la bourse enflammée du gros orteil.
- Pose d'implants.
La période de rééducation après la chirurgie peut durer jusqu'à sept semaines. Durant ces quelques semaines, des mesures préventives particulières sont généralement mises en œuvre. Il s’agit tout d’abord d’exercices thérapeutiques qui favorisent :
- améliorer l'état de santé;
- réduire la douleur lors de la marche ;
- augmenter le tonus des muscles des jambes;
- installation et fixation du joint déformé dans sa position naturelle.
La durée de la période de rééducation dépend le plus souvent de la complexité de l'opération. Pour accélérer la récupération, vous devriez commencer à bouger vos doigts le lendemain. Au bout d'une semaine, le patient peut déjà se lever et, en prenant ses précautions, bouger lentement. L'essentiel est d'éviter un stress prolongé.
Après l'opération, vous aurez besoin de chaussures souples et spacieuses de haute qualité. Il est acheté sur recommandation d'un médecin. À propos, si vous commencez à faire des exercices thérapeutiques au tout début du développement de l'hallux valgus, vous pouvez non seulement vous passer d'intervention chirurgicale, mais également sans gaspiller d'argent en divers appareils, pommades et médicaments.
Les experts affirment que l'option de traitement chirurgical donne des résultats positifs à presque cent pour cent. Cette méthode de traitement douce ne nécessite aucune anesthésie et n’entraîne ni stress ni détresse psychologique. Cependant, les méthodes de traitement indolores ne peuvent pas sauver une personne du dernier stade de la maladie.
Mesures préventives

Les mesures préventives sont assez simples : porter des chaussures confortables à bout large, dont l'intérieur n'exerce pas de pression sur les orteils. Les articulations en particulier et les pieds en général sont capables de supporter le poids accumulé au cours de la croissance humaine sans causer de dommages. Il est donc très important de surveiller votre poids pour éviter l’obésité.
L'un des exercices préventifs efficaces est le suivant : une personne, assise sur une chaise, les pieds au sol, les déplace avec ses doigts.
L'exercice suivant consiste à marcher pieds nus sur le sol, alternativement sur la pointe des pieds et sur les talons.
Les gymnastiques simples sont maîtrisées rapidement, ce qui donne lieu à des exercices physiques plus complexes. Vous pouvez alors effectuer des actions comme ramasser un crayon ou tout autre objet au sol.
Il est préférable de prévenir la déformation du pouce plutôt que de faire la queue dans les établissements médicaux afin de recevoir les recommandations du médecin sur le choix d'un traitement efficace.























